Ищете крутые кейсы в digital? Посмотрите на номинантов
Workspace Digital Awards 2026
!
Исполнители
Организовать тендер
0
Войти
Зарегистрироваться
Закрыть
Диджитал-агентства
Специалисты
Отзывы об агентствах
Стоимость услуг
Рейтинги
Тендеры и лиды
Тендерная площадка
Как это работает
Каталог тендеров
Организовать тендер
Исполнители
Диджитал-агентства
Специалисты
Отзывы об агентствах
Стоимость услуг
Рейтинги
Медиа
Кейсы
Статьи
Афиша
Слово экспертам
Документация
Новости компаний
Интервью
Видео
Информация
О проекте
Новости проекта
Платные опции
Помощь
Наша айдентика
Другое
Премия WDA
Инструменты
Вакансии
Каталог премий
Главная
/
Каталог агентств
/
Октябрь team
/
Кейсы
Кейсы Октябрь team
Октябрь team
Были на сайте 28 апреля
Обсудите свой проект с этим исполнителем!
В избранное
4800
Участник партнерского клуба.
Подробнее...
PARTNER
Октябрь team
Были на сайте 28 апреля
Подписаться
Лайки за кейсы
Подписчики
7
Кейсы
52
Новости
1
Статьи
5
Отзывы
1
https://october.team
головной офис
+79620255517
Россия, Ставрополь
355000, Ставропольский край, г.Ставрополь, ул. Мира 360
год основания
2021
11
Рекомендую агентство
Сотрудники компании
Илья Токарев
Руководитель отдела маркетинга
Подписаться
Сергей Белентьев
Backend-разработчик
Подписаться
Нурридин Карабаев
Backend-разработчик
Подписаться
Владислав Пискунов
Frontend-разработчик
Подписаться
Александр Церковнов
Мобильный разработчик
Подписаться
Показать еще
Исполнители
Октябрь team
4800 просмотров
В избранное
Назад в профиль агентства
Кейсы
Все
52
Разработка
сайтов
11
Разработка
приложений
9
Поисковая
оптимизация
1
Дизайн
и брендинг
5
CRM,
интранеты
36
Разработка
игр
9
назад
вперед
61
Как нейросети помогают продавать декор для заборов: опыт интеграции ИИ для ZKING.
#Разработка чат-ботов и Mini Apps
69
Как мы автоматизировали запись на гражданство на Госуслугах
#Разработка чат-ботов и Mini Apps
501
Разработка многофункционального трейдинг-бота на сети Solana
#Разработка сайтов под ключ
#Разработка чат-ботов и Mini Apps
#Разработка программного обеспечения
247
Кейс стоматологической клиники из г.Хэйхэ на AI:от снимка до КП без участия врача — конверсия +300%
#Разработка программного обеспечения
#Администрирование серверов
324
Единая платформа для менеджеров по продажам и адаптивная серверная инфраструктура для ХОЛОДИЛЬНИК.РУ
#Внедрение и поддержка CRM
595
Приложение для учёта транспорта и сотрудников ПАО Газпром
#Приложение под ключ
237
Агрегатор финансовых услуг
#Разработка сайтов под ключ
#Разработка программного обеспечения
529
Многофункциональный агрегатор грузов
#Приложение под ключ
#Разработка программного обеспечения
Показать еще
8
501
Разработка многофункционального трейдинг-бота на сети Solana
#Разработка сайтов под ключ
#Разработка чат-ботов и Mini Apps
#Разработка программного обеспечения
237
Агрегатор финансовых услуг
#Разработка сайтов под ключ
#Разработка программного обеспечения
424
Платформа для вывоза отходов
#Разработка сайтов под ключ
#Приложение под ключ
536
Digital-платформа для горнодобывающей промышленности. Успешный кейс автоматизации B2B-продаж
#Разработка сайтов под ключ
#Проектирование и дизайн CRM
#Разработка программного обеспечения
190
Увеличение конверсии в записи на консультацию с помощью ИИ-оценки кожных заболеваний
#Программирование сайта
#Разработка программного обеспечения
743
LMS и CRM платформа для ЦОПП Самарской области
#Разработка сайтов под ключ
#Проектирование и дизайн CRM
#Разработка программного обеспечения
618
Разработка платформы товароучетного, кассового и логистического ПО для оптовой компании EKOM.UZ
#Разработка сайтов под ключ
#Проектирование и дизайн CRM
#Разработка программного обеспечения
456
Интернет-магазин умной техники
#Разработка сайтов под ключ
#SEO под ключ
Показать еще
3
595
Приложение для учёта транспорта и сотрудников ПАО Газпром
#Приложение под ключ
529
Многофункциональный агрегатор грузов
#Приложение под ключ
#Разработка программного обеспечения
424
Платформа для вывоза отходов
#Разработка сайтов под ключ
#Приложение под ключ
421
Мобильное приложения для контроля сотрудников управляющей компании в сфере ЖКХ
#Приложение под ключ
394
Мобильное приложение для медитаций и улучшения качества жизни с 600 000 пользователей
#Приложение под ключ
659
Приложение для автоматизации молочной фермы
#Приложение под ключ
#Разработка программного обеспечения
552
Разработка мобильного приложения для сети салонов красоты
#Приложение под ключ
583
Мобильное приложение для онлайн школы диетологии (LMS, mobile learning)
#Приложение под ключ
#Фирменный стиль
Показать еще
1
456
Интернет-магазин умной техники
#Разработка сайтов под ключ
#SEO под ключ
589
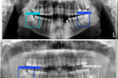
Автоматизация рентген-анализа для ортодонтов
#Фирменный стиль
#Разработка программного обеспечения
583
Мобильное приложение для онлайн школы диетологии (LMS, mobile learning)
#Приложение под ключ
#Фирменный стиль
650
Разработка инвестиционного фонда для закрытого комьюнити за 2 месяца
#Дизайн сайта
#Инфографика
#Разработка программного обеспечения
612
Разработка VR-сценариев для обучения медсестёр
#3D моделирование
#Разработка игры под ключ
684
3D-визуализация объекта недвижимости (ЖК Сфера, Москва)
#3D моделирование
#Дизайн интерфейсов для игр
#3d-графика для игр
61
Как нейросети помогают продавать декор для заборов: опыт интеграции ИИ для ZKING.
#Разработка чат-ботов и Mini Apps
69
Как мы автоматизировали запись на гражданство на Госуслугах
#Разработка чат-ботов и Mini Apps
501
Разработка многофункционального трейдинг-бота на сети Solana
#Разработка сайтов под ключ
#Разработка чат-ботов и Mini Apps
#Разработка программного обеспечения
247
Кейс стоматологической клиники из г.Хэйхэ на AI:от снимка до КП без участия врача — конверсия +300%
#Разработка программного обеспечения
#Администрирование серверов
324
Единая платформа для менеджеров по продажам и адаптивная серверная инфраструктура для ХОЛОДИЛЬНИК.РУ
#Внедрение и поддержка CRM
237
Агрегатор финансовых услуг
#Разработка сайтов под ключ
#Разработка программного обеспечения
529
Многофункциональный агрегатор грузов
#Приложение под ключ
#Разработка программного обеспечения
536
Digital-платформа для горнодобывающей промышленности. Успешный кейс автоматизации B2B-продаж
#Разработка сайтов под ключ
#Проектирование и дизайн CRM
#Разработка программного обеспечения
Показать еще
8
306
Онлайн PvP-игра с криптопризами по мотивам WORMS
#Разработка игры под ключ
#Разработка программного обеспечения
776
Симулятор землетрясений для исследовательского института в Казахстане
#2d-графика для игр
#Разработка программного обеспечения
#Администрирование серверов
480
Разработка VR-тренажёра для обучения стрельбе из миномёта
#Разработка игры под ключ
521
VR тренажёр-металлодетектора
#Разработка игры под ключ
452
Разработка VR-цифрового двойника железнодорожного вагона
#Разработка игры под ключ
767
Разработка VR-симулятора для обучения работе на станке
#Разработка игры под ключ
329
Разработка VR-симулятора для обучения монтажу и обслуживанию оборудования на предприятии
#Разработка игры под ключ
612
Разработка VR-сценариев для обучения медсестёр
#3D моделирование
#Разработка игры под ключ
Показать еще
1